Visionary Leadership in Intracardiac Echocardiography
With more than 24 years of leadership in intracardiac echocardiography, Siemens Healthineers continues to shape the future of ICE by working closely with clinical experts. Together, we are advancing innovative solutions that have already supported more than one and a half million patients worldwide and are poised to benefit many more.

First in 2D ICE
In 2000, the first AcuNav 10 French catheter was introduced to market. This was the first phased array intracardiac echocardiography (ICE) catheter. It enabled improved visualization for heart applications in electrophysiology and interventional cardiology.

First in 3D ICE
2007 brought the introduction of the SOUNDSTAR catheter. This technology integrated the AcuNav ultrasound catheter with sensor-enabled EP mapping, which accurately places data sets from the 2D ICE image into the X-, Y-, and Z-planes. This creates three-dimensional images of the heart's chambers.Â

First in 4D Volume ICE
In 2012, Siemens Healthineers introduced the first real-time volume ICE catheter, the AcuNav V ultrasound catheter. The catheter was a 90°x24° imaging catheter created to address the imaging needs of the structural heart environment where cross-sectional views of the valve orifices are required to visually guide valve repair and replacement procedures.Â

4D ICE Second Gen
In 2017, Siemens Healthineers received FDA clearance for the ACUSON AcuNav Volume ICE catheter, the next generation of volume (4D) ICE catheter imaging. The catheter brings a broader elevation plane than the ACUSON AcuNav V ultrasound catheter and provides CW, PW, and color Doppler capabilities in both 2D and 4D imaging modes. Â

ACUSON AcuNav Volume ICE Catheter
In 2022, working closely with customers, Siemens Healthineers continued the tradition of innovation and released an updated version of the AcuNav Volume catheter with an improved imaging approach.Â

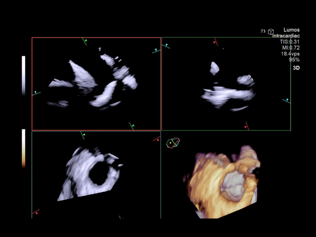
AcuNav Lumos
In 2024, Siemens Healthineers launched the AcuNav Lumos 4D ICE catheter with improved biplane imaging and multiplanar reconstruction (MPR), better leak detection with real-time 4D color Doppler, and compatibility to ACUSON Origin, an advanced cardiac ultrasound system with integrated AI features for supporting enhanced clinical decision making.Â

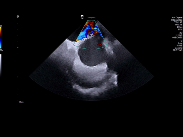
AcuNav Crystal
Powered by the ACUSON Origin ultrasound system, the AcuNav Crystal 2D ICE catheter delivers imaging clarity that opens new possibilities in structural heart and electrophysiology procedures. With accurate tissue contact and characterization, AcuNav Crystal supports emerging therapies like PFA and enables more precise treatments. Its consistent image quality helps detect complications earlier, helping to advance patient safety.
Customer Voices
Watch as leading physicians share their firsthand experiences with the transformative impact of Intracardiac Echocardiography (ICE) on procedural imaging.







