
Pulmonary MRIMake every breath count
With the advent of functional lung imaging using MRI, pulmonary imaging enters a new era and adds new value. Information about ventilation and perfusion without any radiation burden can now be obtained using standard MRI equipment. Together with robust methods to do angiography in the thorax or to visualize soft tissue changes in the lungs or mediastinum, Siemens Healthineers brings everything to the table to get the clinical answers you need.
Highlights
Get all the relevant information using pulmonary MRI in free-breathing.

Deep Resolve
At the forefront of the revolution in MRI acceleration, Deep Resolve enables game-changing acceleration by combining parallel imaging, SMS and AI-powered image reconstruction.
Your benefits:
- Drastically reduce scan times and double your in-plane resolution
 - Unlock b-values that were previously difficult to obtain in diffusion-weighted imaging
 - Open a new dimension in speed with planned Deep Resolve 3D3
 

MAGNETOM Sola, Vw/Qw defect map | Study-ID: 1aaaa5517
LungMaps1
Besides morphology, information about ventilation and perfusion of the lung is critical to comprehensively assess lung diseases. Functional lung imaging without contrast agents marks a major step forward for follow-up imaging of chronic lung diseases such as cystic fibrosis (CF), chronic obstructive pulmonary disease (COPD) or chronic thromboembolic pulmonary hypertension (CTEPH). LungMaps results in ventilation- and perfusion-weighted maps of the lungs, without any radiation burden.
Your benefits:
- Free-breathing functional lung MRI without the need for additional equipment or tracers
 - Automatic generation of meaningful information without the need for time-consuming manual interaction
 - Perfectly suited for vulnerable groups such as children2 or pregnant women
 

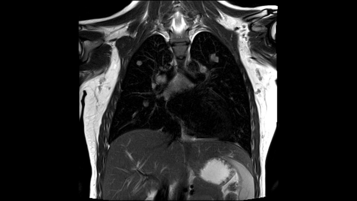
Biograph mMR, StarVIBE | Courtesy: Royal Children's Hospital, Melbourne/VA, Australia | Study-ID: 4aaaa0074
FREEZEit
With our award-winning FREEZEit package – including StarVIBE – you will be able to take pulmonary imaging to the next level by overcoming contrast-agent timing issues and problems with motion. StarVIBE delivers T1-weighted robust, free-breathing, and contrast-enhanced exams for patients by intelligently resisting motion artifacts.
Your benefits:
- Free-breathing T1-weighted 3D measurements with very high spatial resolution
 - StarVIBE effectively compensates breathing and other sources of motion artifacts by using a stack-of-stars trajectory
 - Entire scan is contrast-sensitive, and contrast enhancement cannot be missed
 

Deep Resolve
At the forefront of the revolution in MRI acceleration, Deep Resolve enables game-changing acceleration by combining parallel imaging, SMS and AI-powered image reconstruction.
Your benefits:
- Drastically reduce scan times and double your in-plane resolution
 - Unlock b-values that were previously difficult to obtain in diffusion-weighted imaging
 - Open a new dimension in speed with planned Deep Resolve 3D3
 

MAGNETOM Sola, Vw/Qw defect map | Study-ID: 1aaaa5517
LungMaps1
Besides morphology, information about ventilation and perfusion of the lung is critical to comprehensively assess lung diseases. Functional lung imaging without contrast agents marks a major step forward for follow-up imaging of chronic lung diseases such as cystic fibrosis (CF), chronic obstructive pulmonary disease (COPD) or chronic thromboembolic pulmonary hypertension (CTEPH). LungMaps results in ventilation- and perfusion-weighted maps of the lungs, without any radiation burden.
Your benefits:
- Free-breathing functional lung MRI without the need for additional equipment or tracers
 - Automatic generation of meaningful information without the need for time-consuming manual interaction
 - Perfectly suited for vulnerable groups such as children2 or pregnant women
 

Biograph mMR, StarVIBE | Courtesy: Royal Children's Hospital, Melbourne/VA, Australia | Study-ID: 4aaaa0074
FREEZEit
With our award-winning FREEZEit package – including StarVIBE – you will be able to take pulmonary imaging to the next level by overcoming contrast-agent timing issues and problems with motion. StarVIBE delivers T1-weighted robust, free-breathing, and contrast-enhanced exams for patients by intelligently resisting motion artifacts.
Your benefits:
- Free-breathing T1-weighted 3D measurements with very high spatial resolution
 - StarVIBE effectively compensates breathing and other sources of motion artifacts by using a stack-of-stars trajectory
 - Entire scan is contrast-sensitive, and contrast enhancement cannot be missed
 

Deep Resolve
At the forefront of the revolution in MRI acceleration, Deep Resolve enables game-changing acceleration by combining parallel imaging, SMS and AI-powered image reconstruction.
Your benefits:
- Drastically reduce scan times and double your in-plane resolution
 - Unlock b-values that were previously difficult to obtain in diffusion-weighted imaging
 - Open a new dimension in speed with planned Deep Resolve 3D3
 



Clinical Applications
Siemens Healthineers exclusive applications
At Siemens Healthineers MR, we are driven to deliver outstanding applications that shift the limits of MRI. The following exclusive features can only be found on our MRI machines and set you apart from competition.
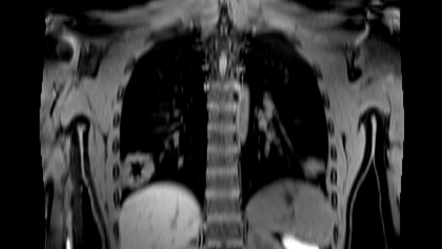
MAGNETOM Sola | Courtesy: Uniweryteckie Centrum Kliniczne, Gdansk, Poland | Study-ID: 1aaaa3892
TWIST
TWIST (Time-resolved angiography With Interleaved Stochastic Trajectories) is a time-resolved 3D MRA technique with very high temporal (sub-second) and spatial resolution (sub-millimeter) which will allow to capture the multiple arterial, mixed, venous phase images during the passage of a contrast agent through the vascular anatomy.
Your benefits:
- The ability to obtain multiple phases in dynamic pulmonary MR angiography
 - No need for a test bolus (or any other kind of bolus timing)
 - Parallel imaging acceleration in two directions with a factor up to 9
 
BioMatrix Respiratory Sensors
BioMatrix Respiratory Sensors automatically detect breathing patterns as soon as the patient lies on the table. This simplifies workflow as operators can perform respiratory-triggered scans without further interaction.
Your benefits:
- Available in all BioMatrix MRI systems
 - Seamlessly integrated respiratory triggering
 - Immediate display of breathing patterns, no cable or respiratory belt
 

MAGNETOM Cima.X | Courtesy: University Hospital Schleswig-Holstein, Kiel, Germany | Study-ID: 2aaaa3036
BLADE
BLADE reduces dramatically sensitivity to movement in MR scanning. It is a technique that incorporates a radial k-space trajectory that reduces motion artifacts. It helps visualize the smallest lesions even in non-cooperative patients or when scanning is not optimal due to other involuntary motion like pulsation or respiration.
Your benefits:
- Supports diffusion as well as any TSE-based contrast
 - BLADE is compatible with SMS which is Siemens Healthineers unique
 - Applicable in any body region, including thoraxÌý
 
myExam Angio Assist
myExam Angio Assist facilitates the acquisition of optimally timed contrast images through interactive bolus timing. This technology ensures consistent timing of the contrast agent for each angiography examination. It enables reliable imaging results, providing precise information to referring physicians and ensuring consistent, optimized kinetic timing for reading and reporting MR angiography cases.
Your benefits:
- Enables reliable imaging results
 - Provides precise information to referring physicians
 - Ensures consistent, optimized kinetic timing for reading and reporting
 
MAGNETOM Sola | Courtesy: Uniweryteckie Centrum Kliniczne, Gdansk, Poland | Study-ID: 1aaaa3892
TWIST
TWIST (Time-resolved angiography With Interleaved Stochastic Trajectories) is a time-resolved 3D MRA technique with very high temporal (sub-second) and spatial resolution (sub-millimeter) which will allow to capture the multiple arterial, mixed, venous phase images during the passage of a contrast agent through the vascular anatomy.
Your benefits:
- The ability to obtain multiple phases in dynamic pulmonary MR angiography
 - No need for a test bolus (or any other kind of bolus timing)
 - Parallel imaging acceleration in two directions with a factor up to 9
 
BioMatrix Respiratory Sensors
BioMatrix Respiratory Sensors automatically detect breathing patterns as soon as the patient lies on the table. This simplifies workflow as operators can perform respiratory-triggered scans without further interaction.
Your benefits:
- Available in all BioMatrix MRI systems
 - Seamlessly integrated respiratory triggering
 - Immediate display of breathing patterns, no cable or respiratory belt
 

MAGNETOM Cima.X | Courtesy: University Hospital Schleswig-Holstein, Kiel, Germany | Study-ID: 2aaaa3036
BLADE
BLADE reduces dramatically sensitivity to movement in MR scanning. It is a technique that incorporates a radial k-space trajectory that reduces motion artifacts. It helps visualize the smallest lesions even in non-cooperative patients or when scanning is not optimal due to other involuntary motion like pulsation or respiration.
Your benefits:
- Supports diffusion as well as any TSE-based contrast
 - BLADE is compatible with SMS which is Siemens Healthineers unique
 - Applicable in any body region, including thoraxÌý
 
myExam Angio Assist
myExam Angio Assist facilitates the acquisition of optimally timed contrast images through interactive bolus timing. This technology ensures consistent timing of the contrast agent for each angiography examination. It enables reliable imaging results, providing precise information to referring physicians and ensuring consistent, optimized kinetic timing for reading and reporting MR angiography cases.
Your benefits:
- Enables reliable imaging results
 - Provides precise information to referring physicians
 - Ensures consistent, optimized kinetic timing for reading and reporting
 
MAGNETOM Sola | Courtesy: Uniweryteckie Centrum Kliniczne, Gdansk, Poland | Study-ID: 1aaaa3892
TWIST
TWIST (Time-resolved angiography With Interleaved Stochastic Trajectories) is a time-resolved 3D MRA technique with very high temporal (sub-second) and spatial resolution (sub-millimeter) which will allow to capture the multiple arterial, mixed, venous phase images during the passage of a contrast agent through the vascular anatomy.
Your benefits:
- The ability to obtain multiple phases in dynamic pulmonary MR angiography
 - No need for a test bolus (or any other kind of bolus timing)
 - Parallel imaging acceleration in two directions with a factor up to 9
 

Clinical Focus Topics

Chronic pulmonary diseases
Chronic pulmonary diseases such as Cystic Fibrosis (CF), Chronic Obstructive Pulmonary Disease (COPD) or Chronic Thromboembolic Pulmonary Hypertension (CTEPH) are devastating diseases. These conditions severely impact the lives of patients as their quality of life is decreased. Additionally, the number of fatalities due to chronic lung diseases is twice as high compared to lung cancer. Consequently, patients suffering from CF, COPD or CTEPH require constant surveillance and medication. In this context, functional imaging of the lungs is of paramount importance, and currently done primarily by nuclear medicine requiring radioactive tracers.

With LungMaps1, we at Siemens Healthineers provide functional lung MRI
- in free-breathing
 - without additional equipment or contrast agent
 - without radiation burden
 
rendering it particularly well-suited for vulnerable groups such as children (age ≥ 6) or pregnant women.
More functional lung imaging solutions from Siemens Healthineers
Did this information help you?
Thank you.
Healthineers organization for further details. Performance testing is based on CT images with a slice thickness of 2 mm or less.

