BIOGRAPH OneShape the new era
Theranostics and other novel drug therapies make truly targeted treatments possible for the very first time. To realize this potential, an imaging system is needed that shortens patients鈥 pathways to a precise diagnosis and timely treatment.
Introducing BIOGRAPH One 鈥 the game-changing PET/MR scanner that shapes a new era for one simplified patient-centric pathway.

Benefits
BIOGRAPH One supports one patient-centric pathway to personalized care. By seamlessly integrating PET and MR into one comprehensive exam, it supports clinicians from diagnosis and staging, through a personalized therapy decision to regular therapy assessments to excel precision and support one streamlined approach.
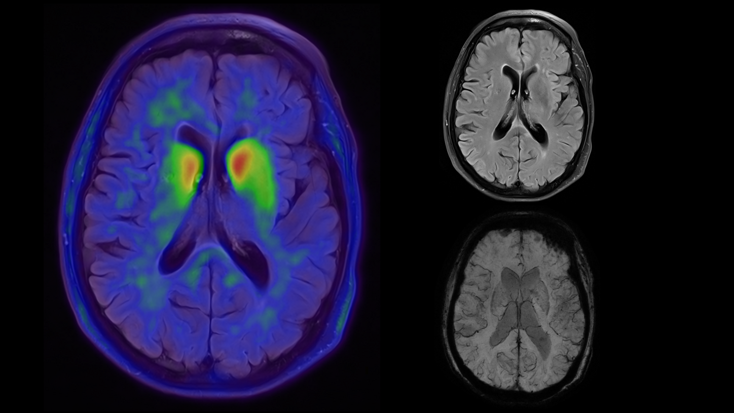
BIOGRAPH One excels in PET/MR precision to support confident diagnostic decisions. Featuring the Optiso UDR Pro detector with the largest 35 cm axial FOV2 and the best time resoulution2 in PET/MR, it enables comprehensive capture with excellent sensitivity and ultra-fast TOF3 in real time 鈥 delivering exceptionally clear, detailed images even in low-dose settings.
With Deep Resolve for accelerated acquisition and improved resolution in 2D and 3D applications4, BIOGRAPH One makes PET/MR exams faster than ever before. With an exceptional 3T magnet at its heart, BIOGRAPH One delivers unparalleled performance with outstanding homogeneity, a large 55 x 55 x 50 cm鲁 field of view and robust gradient power.
BIOGRAPH One makes PET/MR patient positioning easier and more efficient so operators can spend more time on patient care. New BioMatrix Contour Coils enable operators to reduce setup times and minimize exposure to radiation. Starting the exam directly at the scanner further streamlines the workflow.
BIOGRAPH One simplifes the entire PET/MR scanning workflow with myExam Companion: an intuitive interface assisting operators with advanced automation features for PET and MR familiar planning. myExam Companion empowers operators of all experience levels with simplicity and consistency, while new acquisition modes provide a tailored scanning mode for each patient and condition.
BIOGRAPH One reduces patient slot times by more than 50 % to under 30 minutes5 for standard whole-body exams, including dedicated brain protocols. With up to 5x faster positioning5 and 2x faster acquisition5 鈥 BIOGRAPH One establishes PET/MR as a standard clinical modality, aligning patient slot times with typical clinical workflows.
Evidence
BIOGRAPH One is equipped with

Community
First customer voices
As the first hospital in the world to install and clinically investigate the next-generation BIOGRAPH One PET/MR, Rigshospitalet in Denmark has gained unparalleled insight into what this system can deliver: for clinicians, physicists, and, most importantly, for patients.
In this short series, hear directly from the team that brought this system to life. Each video highlights a unique perspective - from clinical workflows to physics innovation to patient outcomes - all centered around how BIOGRAPH One is shaping the new era in PET/MR.
PET/MR on MAGNETOM World
PET/MR Hot Topics page
Explore our PET/MR seminar series, dive into our clinical image gallery, access scientific publications, and discover cutting-edge protocols that showcase the power of PET/MR in transforming precision medicine.
Clinical Talks on PET/MR

Publications on PET/MR
A Milestone in Medical Imaging: 聽The Pioneering Development of the First Integrated PET/MR Scanner at Siemens Healthineers
Holger Schmidt; Marc Lauterbach; Manuel Schneider; Hans Wehrl; Matthias Schmand; James Corbeil; David Faul; Silvia Dias Almeida; Matthias Fenchel














