At Henry Dunant Hospital Center in Athens, Greece, a strategic transition from SPECT-only to hybrid SPECT/CT imaging using Symbia Pro.specta is helping to expand the hospital's diagnostic and therapeutic capabilities.听
Photography by Louisa Vradi | 听Data courtesy of Henry Dunant Hospital Center in Athens, Greece
Versatility drives innovation in modern nuclear medicine, particularly as healthcare facilities expand their diagnostic and therapeutic capabilities. At Henry Dunant Hospital Center in Athens, Greece鈥攐ne of Southeastern Europe鈥檚 most advanced private healthcare facilities鈥攖his evolution is taking shape through a strategic transition from SPECT-only to hybrid SPECT/CT imaging.
Under the leadership of Ioannis T. Koutsikos, MD, PhD, chief of the Theranostics Nuclear Medicine Center, this technological advancement has done more than expand clinical offerings. It has transformed the hospital鈥檚 theranostics program and reinforced its position as a leader in personalized care.
Increased need for advanced diagnostic and therapeutic services
The timing of this transition proves particularly crucial as Greece faces growing healthcare demands, especially from an aging population and increased reliance on private healthcare due to wait times in the national public health system.听
鈥淎s Greece faces one of the fastest aging populations in the EU, we have seen a rise in referrals for cardiology and oncology services,鈥 says Koutsikos. 鈥淥ur transition to SPECT/CT was, in part, driven by this increasing need for precise and personalized care.鈥
From SPECT-only to SPECT/CT: a strategic transition
Until late 2023, the department relied on a SPECT-only system for its core nuclear medicine services鈥 cardiac studies, renal imaging, orthopedic studies, and bone and thyroid scintigraphy. However, with the theranostics field rapidly expanding, Koutsikos wanted to enhance the hospital鈥檚 diagnostic and therapeutic services in nuclear medicine. With a transition to SPECT/CT, the department sought to introduce more advanced therapeutic options, such as lutetium-based therapies for treating prostate cancer. It was clear that a hybrid imaging system would be essential.听
鈥淭here were several reasons for moving to听SPECT/CT,鈥 Koutsikos explains. 鈥淲e wanted to expand our clinical applications, enhance our theranostics program, and offer more comprehensive services to our referring physicians. SPECT/CT provides a competitive advantage, especially when combined with our PET/CT capabilities.鈥澨
Opting for a Symbia Pro.specta SPECT/CT was a natural progression for the department. 鈥淭his scanner offers us the workflow efficiency, patient comfort, and low-dose protocols we needed, all within a footprint that allowed us to install it without major renovations,鈥 notes Koutsikos. 鈥淚t鈥檚 a perfect fit for our hybrid imaging needs.鈥
A growing theranostics program
Theranostics, which combines diagnostic imaging and targeted therapy to deliver more personalized treatment for conditions such as cancer, has emerged as a fast-growing field within nuclear medicine.听
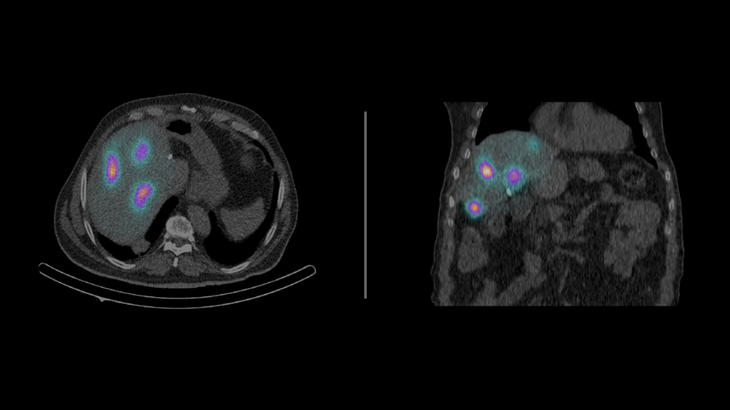
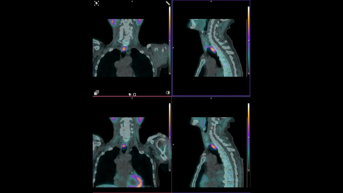
Transitioning to SPECT/CT accelerated the center鈥檚 evolution into a full-fledged theranostics hub. Today, nearly 50 percent of the department鈥檚 cancer patients are treated within theranostics pathways, including radioiodine therapy for thyroid cancer, lutetium-177 for prostate cancer (PSMA therapy) and neuroendocrine tumors (peptide receptor radionuclide therapy), and radioembolization.听
鈥淭he combination of SPECT/CT and personalized dosimetry is critical to providing optimal outcomes in theranostics,鈥 says Koutsikos. 鈥淨uantitative imaging, low-dose diagnostic CT, and improved tumor localization are essential for both patient safety and therapeutic success.鈥澨
Throughout the theranostics process, patients often undergo multiple scans鈥攂efore and after treatment cycles鈥攖o monitor therapeutic uptake and assess effectiveness. This valuable imaging during treatment is one of the great advantages of theranostics, offering clinicians real-time insight into how well a treatment is working. However, it also raises concern about cumulative radiation exposure, particularly for patients undergoing long-term therapies.
鈥淲e wanted to expand our clinical applications, enhance our theranostics program, and offer more comprehensive services to our referring physicians. SPECT/CT provides a competitive advantage.鈥
Considering these concerns, a critical component of theranostics is dosimetry, the measurement of the absorbed radiation dose in tissues, which helps optimize treatment planning and ensure patient safety. While the dosimetry of radionuclide therapy is important to protect sensitive organs, another measure to reduce exposure is utilization of low-dose CT in subsequent scanning protocols.
Recognizing the importance of minimizing radiation exposure without compromising diagnostic quality, Koutsikos and his team have undertaken a study to evaluate the impact of low-dose CT protocols in their clinical practice. He and his colleagues presented data at the Panhellenic Conference and Balkan Congress of Nuclear Medicine in May 2025 highlighting the reduction in radiation exposure achieved with Symbia Pro.specta鈥檚 low-dose CT protocols, with dose indices reduced by up to a factor of nine compared to European and national reference levels.1听
鈥淲ith theranostic patients undergoing multiple scans throughout treatment, minimizing radiation exposure without compromising image quality is a major advantage,鈥 he adds.
Imaging versatility across clinical areas
While theranostics was a significant factor influencing the hospital鈥檚 transition to hybrid SPECT/CT imaging, the versatility of this modality has also opened new possibilities across a range of clinical areas.听
The nuclear medicine team now routinely uses SPECT/CT for cardiac attenuation correction, parathyroid localization, infection imaging for prosthetic joints, and skeletal assessments. This expansion has led to increased throughput, greater scheduling flexibility, and the ability to combine multiple imaging studies more efficiently.听
鈥淧reviously, four to five parathyroid scans could be performed in one 8-hour shift, without the possibility of other scans,鈥 explains Koutsikos. 鈥淣ow, with Symbia Pro.specta鈥檚 enhanced workflow capabilities, we can efficiently manage more studies leading to increased patient throughput, including complex procedures like myocardial perfusion and parathyroid imaging.鈥澨
The team still regularly uses conventional planar imaging for specific applications, such as renal or thyroid studies, but most complex cases now move directly to SPECT/CT, when necessary, enhancing both diagnostic confidence and clinical decision-making.
鈥淥ur referring physicians immediately noticed the difference,鈥 Koutsikos says. 鈥淭hey were impressed by the anatomical detail and localization capabilities that hybrid imaging provides.鈥
Investing in future growth
Transitioning to hybrid SPECT/CT imaging required substantial investment in staff training, particularly in mastering CT acquisition and advanced image processing. 鈥淚nitially, the shift was challenging for our technologists, who had been trained primarily in nuclear medicine acquisition,鈥 Koutsikos shares. 鈥淏ut with the training they received, our team is now able to deliver high-quality SPECT/CT studies.鈥澨
In parallel with staff training within the department, Koutsikos and his team have also worked to educate referring physicians and clinical colleagues across the hospital about the added diagnostic value of hybrid imaging.听
鈥淲e are participating in several tumor boards, interdisciplinary clinical meetings, and case discussions to highlight how hybrid imaging can influence diagnosis and treatment planning,鈥 he says. 鈥淚t鈥檚 important to help our colleagues understand not just the technology, but how it changes patient care decisions for the better.鈥澨
The department鈥檚 vision extends beyond current capabilities, embracing artificial intelligence (AI) for enhanced predictive modeling and dosimetry, while exploring next-generation theranostic agents such as actinium-225 and copper-based isotopes. 鈥淲e believe the future of molecular imaging lies in more personalized, data-driven care, and Symbia Pro.specta positions us well for that evolution,鈥 says Koutsikos.
Nuclear medicine鈥檚 new standard across Greece
Despite these advantages, hybrid SPECT/CT imaging is not yet reimbursed for many applications in Greece. As a result, the nuclear medicine department performs traditional planar studies alongside SPECT/CT scans, ensuring they meet current payer requirements while still delivering the added value of hybrid imaging.听
鈥淲e are optimistic that this will change,鈥 says Koutsikos. 鈥淪cientific societies and professional groups are actively working to validate the clinical impact of SPECT/CT studies and to advocate for expanded reimbursement. In the meantime, we are committed to demonstrating the benefits of hybrid imaging in our day-to-day practice.鈥澨
The introduction of SPECT/CT at Henry Dunant Hospital Center marks a significant milestone not only for the department but also for personalized medicine in patient care across Greece. By embracing hybrid imaging, expanding theranostic capabilities, and advancing clinical research initiatives, the center is setting a new standard for patient care.听
鈥淔or us, SPECT/CT is more than just an upgrade; it鈥檚 a gateway to delivering more precise, personalized medicine,鈥 concludes Koutsikos. 鈥淲e are excited to be at the forefront of these changes for the benefit of our patients, now and in the future.鈥
About the author
Claudette Lew is a freelance medical writer and editor and is a frequent contributor to Nuclear Medicine News & Stories.









