- Startseite
- Medizinische Bildgebung
- Ultraschallsysteme
- Ultraschall-Hacks

Ultraschall-HacksTipps und Tricks für die Anwendung von Ultraschall
Ultraschall-Hacks
Beurteilung der Leber mit Ultraschall
Die Leber als unser Verdauungs- und Stoffwechselorgan spielt eine wichtige Rolle im Fett-, Eiweiß- und Kohlehydratstoffwechsel. Darüber hinaus ist sie die „Entgiftungszentrale“ des Körpers. In der Diagnostik von Lebererkrankungen ist die Sonografie eine bedeutende, nicht-invasive Methode zur Beurteilung der Lebergesundheit.
Die Grundlage für alle Diagnostik ist der B-Bild-Ultraschall der Leber. Sie wollen mehr erfahren? Schauen Sie sich das Video an!
Techniken für den Leber-Ultraschall
Ultraschalltechnologien haben sich in den letzten Jahren enorm weiterentwickelt. Im Video stellen wir einige der technischen Möglichkeiten und Verfahren zur Sonografie der Leber vor.
Scherwellen-Elastographie der Leber: Tipps für die Vorbereitung und Durchführung
Rippenschatten, verschwommene oder nicht interpretierbare Bilder – bei der Leber-Sonografie können verschiedene Faktoren die Bildqualität beeinträchtigen.
In diesem Video zeigen wir, wie Sie eine Scherwellen-Elastographie optimal vorbereiten und durchführen. Im Fokus stehen fünf wichtige Aspekte – werden diese nicht beachtet, kann das zu Ungenauigkeiten bei den Messungen führen.
Ermittlung des Leberfettgehalts mit Ultraschall
Die Sonografie ist ein wichtiges bildgebendes Verfahren zur Beurteilung der Steatosis hepatis. In diesem Video mit Dr. Sabine Guth gehen wir auf die Ursachen der Leberverfettung ein und zeigen, wie sie per Ultraschall zuverlässig beurteilt werden kann.
Ermittlung einer Leberfibrose mit Ultraschall
Eine Leberfibrose ist eine ernstzunehmende, aber oft unbemerkte Erkrankung – erste Symptome treten meist erst spät auf. Umso wichtiger ist eine frühe Diagnose, um das Fortschreiten zu verhindern.
Im Ultraschall lassen sich die gesunde und die fibrotische Leber mittels neuer Ultraschalltechnologien wie der Elastographie unterscheiden. Wie genau, zeigt Dr. Sabine Guth in diesem Video.
Techniken
Techniken zur Beurteilung der Leber mit Ultraschall
Bei der konventionellen Ultraschalluntersuchung wird die Leber anhand qualitativer Merkmale im B-Bild beurteilt. Darüber hinaus gibt es verschiedene technische Möglichkeiten, welche die Beurteilung der Leber mit Ultraschall unterstützen.

Die Leber
Die Leber wird in insgesamt acht Lebersegmente eingeteilt: Segment 1 ist der Lobus caudatus, Segmente 2 und 3 liegen im linken, 4 bis 8 im rechten Leberlappen. Die Leber hat eine doppelte Blutversorgung: Sauerstoffreiches Blut wird über die A. hepatica, nährstoffreiches Blut über die Pfortader transportiert. Beide Gefäße und die Gallengänge verlaufen gemeinsam in der Glissonschen Trias. Der venöse Abfluss erfolgt über das dritte Blutgefäßsystem: die Lebervenen.

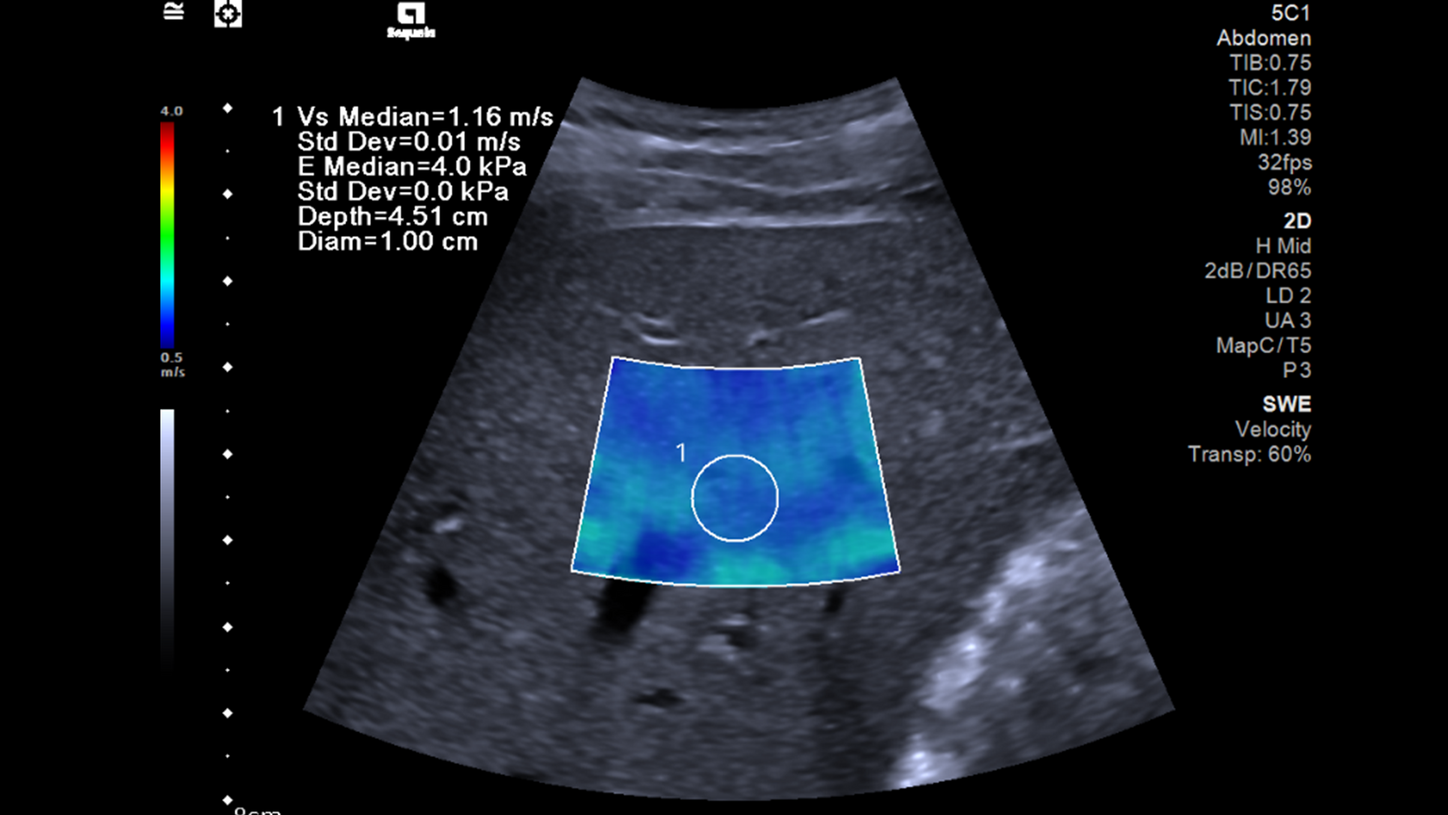
Die Scherwellen-Elastographie
Die Scherwellen-Elastographie misst die Steifigkeit der Leber: Je stärker die Fibrose, desto weniger elastisch das Gewebe – und desto schneller breiten sich Scherwellen aus. Das Ergebnis wird in Meter pro Sekunde (m/s) und in Kilopascal (kPa) angegeben.

2D-Scherwellen-Elastographie

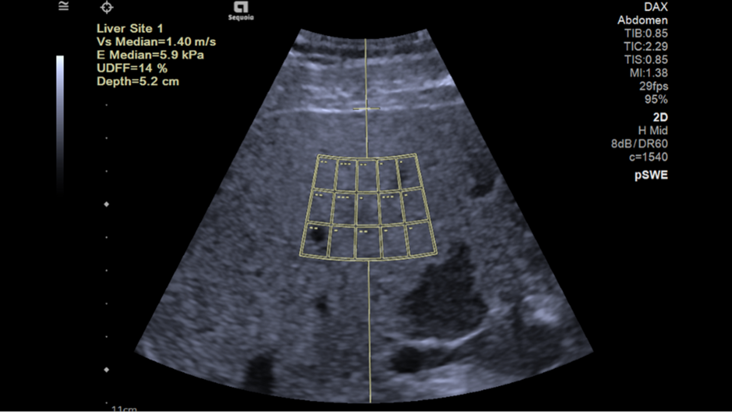
Auto pSWE der Leber

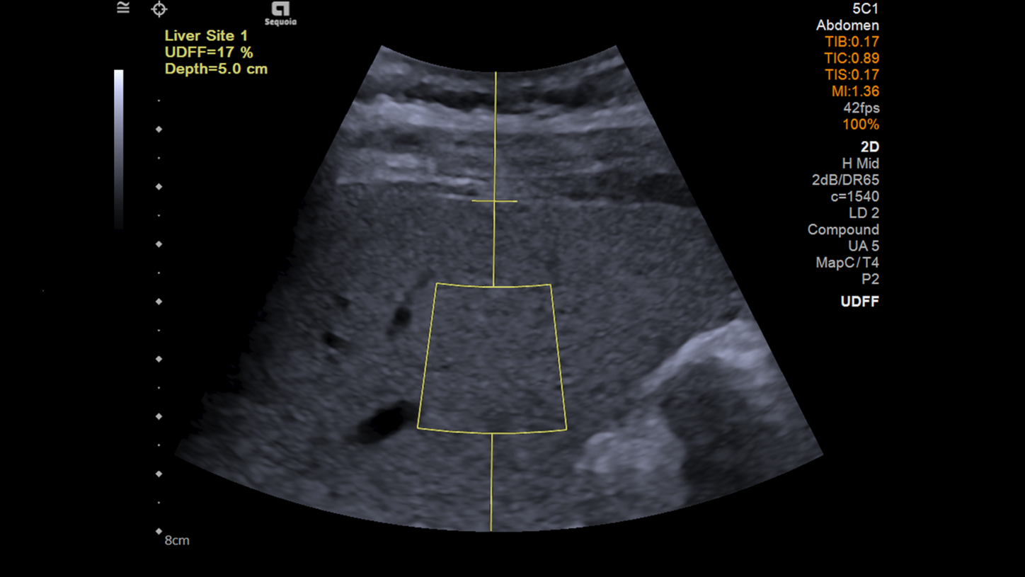
UDFF (Ultrasound Derived Fat Fraction)
Unsere Expertinnen

Dr. Sabine Guth
Ärztliche Leitung Sana Prävention Hamburg, Fachärztin für Innere Medizin – Ultraschalldiagnostik DEGUM III

Jacqueline-Elaine Fanter
Ihr Kontakt zum Vertrieb
Informationen zu unseren Produkten, Preisen oder eine persönliche Produktberatung: unser Vertriebsteam ist gerne für Sie da.
Vereinbaren Sie einen Termin zur Produktdemonstration
Kontaktieren Sie uns und lassen Sie sich von unserem innovativen Produktportfolio überzeugen – bei Ihnen vor Ort oder in einem unserer regionalen Siemens Healthineers Ultraschallcenter.