
Schlaganfall schnell und präzise behandeln
Fakten








Video auf Englisch
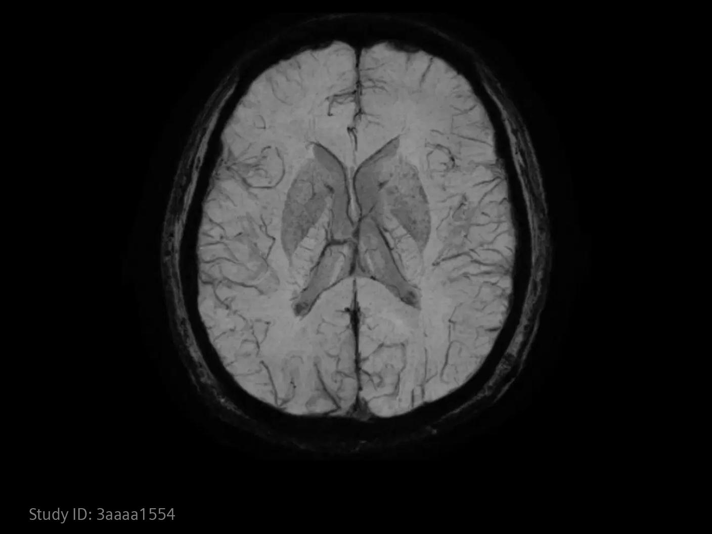
Diagnose
Frühwarnzeichen erkennen - FAST





Begleiten Sie Mike auf seinem Weg durch die akute Schlaganfallversorgung
Behandlung
Entscheidende Erkenntnisse in Sekunden:
Wie fortschrittliche Bildgebung und KI die Schlaganfallversorgung verändern
Im Bereich der Schlaganfallversorgung zählt jede Sekunde . Schnelle und präzise Bildgebung ist entscheidend, um das Ausmaß der Hirnschädigung zu beurteilen und die sofortige Behandlung einzusteuern. Angiographie, MRT, CT, Labordiagnostik und Ultraschall sind unverzichtbare Werkzeuge, um Schlaganfalltyp, -bereich und -schwere zu bestimmen. Durch technologische Fortschritte in der Bildgebung sind heute noch schnellere Aufnahmen, eine bessere Auflösung und eine optimierte Darstellung von Gehirnstrukturen und Blutgefäßen möglich. Innovationen wie Perfusionsbildgebung, Echtzeit-Gefäßkartierung und KI-gestützte Diagnostik revolutionieren die Abläufe bei Schlaganfällen und ermöglichen präzise zeitnahe Interventionen.












Video auf Englisch
Nachsorge
Wieder stark – Langzeitversorgung und sekundäre Schlaganfallprävention
[1] Feigin VL, Brainin M, Norrving B, Martins SO, Pandian J, Lindsay P, et al. World Stroke Organization: Global Stroke Fact Sheet 2025. Int J Stroke [Internet]. 2025;20(2):132–44. Available from:
[2] Rücker V, Heuschmann PU, O’Flaherty M, Weingärtner M, Hess M, Sedlak C, et al. Twenty-year time trends in long-term case-fatality and recurrence rates after ischemic stroke stratified by etiology. Stroke [Internet]. 2020;51(9):2778–85. Available from:
[3] Impact of stroke [Internet]. World Stroke Organization. [cited 2025 Jun 5]. Available from:
[4] CDC. Stroke facts [Internet]. Stroke. 2024 [cited 2025 Jun 11]. Available from:
[5] dsg_adm. Europäischer Aktionsplan ausgerufen [Internet]. Deutsche Schlaganfall-Gesellschaft. 2022 [cited 2025 Jun 11]. Available from:
[6] GBD 2019 Stroke Collaborators. Global, regional, and national burden of stroke and its risk factors, 1990-2019: a systematic analysis for the Global Burden of Disease Study 2019. Lancet Neurol [Internet]. 2021;20(10):795–820. Available from:
[7] Transient ischemic attack (TIA) [Internet]. National Institute of Neurological Disorders and Stroke. [cited 2025 Jun 12]. Available from:
[8] Elisabeth P. What women need to know about stroke [Internet]. Mayo Clinic Press. 2024 [cited 2025 Jun 5]. Available from:
[9] British Heart Foundation. High blood pressure during pregnancy increases risk of heart attacks and strokes [Internet]. British Heart Foundation. 2019 [cited 2025 Jun 5]. Available from:
[10] Oral contraceptives and hormone therapy increase the risk of stroke [Internet]. Www.uu.se. [cited 2025 Jun 5]. Available from:
[11] deVeber GA, Kirton A, Booth FA, Yager JY, Wirrell EC, Wood E, et al. Epidemiology and outcomes of arterial ischemic stroke in children: The Canadian Pediatric Ischemic Stroke Registry. Pediatr Neurol [Internet]. 2017;69:58–70. Available from:
[12] Stroke.org. [cited 2025 Jun 5]. Available from:
[13] Saver JL. Time is brain--quantified. Stroke [Internet]. 2006;37(1):263–6. Available from:
[14] Deutscher Ärzteverlag GmbH. The frequency and timing of recurrent stroke [Internet]. Deutsches Ärzteblatt. [cited 2025 Jun 5]. Available from:
[15] Arsava EM, Helenius J, Avery R, Sorgun MH, Kim G-M, Pontes-Neto OM, et al. Assessment of the predictive validity of etiologic stroke classification. JAMA Neurol [Internet]. 2017;74(4):419–26. Available from:
[16] Research, Markets ltd. Brain Aneurysm Treatment Market Forecast to 2027 - COVID-19 Impact and Global Analysis by Type; Condition; End User, and geography [Internet]. Researchandmarkets.com. [cited 2025 Jun 18]. Available from:
[17] Stroke.org. [cited 2025 Jun 5]. Available from:
1 SOMATOM On.site ist in einigen Ländern noch nicht käuflich zu erwerben. Aufgrund von medizinproduktrechtlichen Vorgaben kann die zukünftige Verfügbarkeit nicht zugesagt werden.
2 Stroke Connect enthält medizinische und nicht-medizinische Geräte. Diese Lösung kann nicht direkt zu Diagnosezwecken verwendet werden. Die Produktverfügbarkeit kann von Land zu Land variieren und unterliegt unterschiedlichen regulatorischen Anforderungen. Bitte wenden Sie sich an Ihren Vertreter vor Ort, um die Verfügbarkeit zu erfahren. Stroke Connect ist derzeit in den USA nicht verfügbar. Die Anpassung an die US-Anforderungen ist im Gange, ohne garantierte Verfügbarkeit.
3 Nicht käuflich in den USA zu erwerben
- Die hier genannten Produkte/Funktionen sind in einigen Ländern noch nicht käuflich zu erwerben. Aufgrund von medizinproduktrechtlichen Vorgaben kann die zukünftige Verfügbarkeit nicht zugesagt werden
 




















